torre de hercules
torre de hercules

Concertar una cita

Teléfono

+34 981200177

 

Correo electrónico

info@clinicadentalrodriguez .com

 

Dirección

CLÍNICA DENTAL Dres.RODRÍGUEZ

C/ Pórtico de San Andrés 1

15003 A Coruña

 

Le invitamos a utilizar también nuestro formulario de contacto.

 

Horario:Lunes a Viernes de 9:30 a 13:30 y de 16:00 a 20:00 horas

 

nº reg. sanitario C-15-001166

 

Reg. Mercantil A Coruña

tomo3586,folio 200,hoja C-5487,

Inscripción 1

 

 

CLÍNICA DENTAL Dres.RODRÍGUEZ en redes sociales

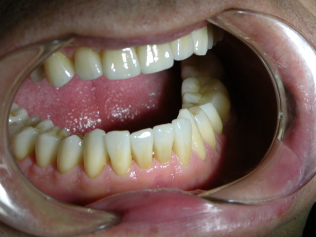
Cerámica sin Metal

Caso 1

Rehabilitación completa superior mediante coronas E-Max en un grave caso de "abrasión dental".

Pendiente  de obturaciones estéticas a nivel del "cuello" de premolares inferiores.Actualmente restauradas en última foto.

CASO 2

Rehabilitación bimaxilar completa mediante coronas E-Max

CASO 3

Reposición de incisivo inferior mediante puente cerámico

CASO 4

Reposición canino superior izquierdo con corona de E-Max.

CASO 5

Corona de E-Max sobre muñón restaurado con amalgama adhesiva

CASO 6

Molar inferior con corona de E-Max  acabada de cementar

CASO 7

Corona E-Max recién cementada sobre primer premolar superior izdo.

Versión para imprimir | Mapa del sitio
© CLÍNICA DENTAL Drs.RODRÍGUEZ. S.C