torre de hercules
torre de hercules

Concertar una cita

Teléfono

+34 981200177

 

Correo electrónico

info@clinicadentalrodriguez .com

 

Dirección

CLÍNICA DENTAL Dres.RODRÍGUEZ

C/ Pórtico de San Andrés 1

15003 A Coruña

 

Le invitamos a utilizar también nuestro formulario de contacto.

 

Horario:Lunes a Viernes de 9:30 a 13:30 y de 16:00 a 20:00 horas

 

nº reg. sanitario C-15-001166

 

Reg. Mercantil A Coruña

tomo3586,folio 200,hoja C-5487,

Inscripción 1

 

 

CLÍNICA DENTAL Dres.RODRÍGUEZ en redes sociales

Puentes y Rehabilitaciones

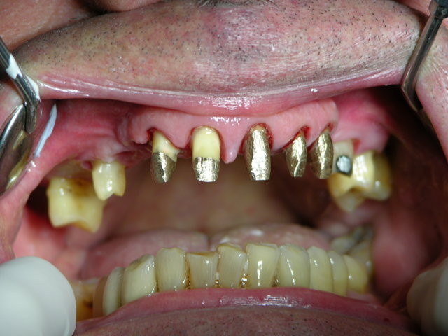
Caso 1

Trabajo realizado hace 25 años. Representa un auténtico reto profesional dado que combina endodoncias,espigos de oro-platinado,implantes dentales en lado derecho,coronas unitarias y pónticos.

 Obsérvese el perfecto ajuste del espigo de oro sin solución de continuidad con la raíz.

CASO 2

Rehabilitación parcial superior metalocerámica y sobredentadura inferior.Obsérvese la gran desestructuración inicial y sobremordida

CASO 3

Puente inferior metalocerámico con "interlock" (bisagra) por la parte distal del premolar para evitar despegamientos del póntico.Muñones de premolares reconstruidos en oro-platinado

CASO 4

Magnífica rehabilitación superior con una "joya en miniatura" entre los incisivos centrales.Actualmente en uso tras 25 años .

CASO 5

Rehabilitación superior realizada en metalcerámica.En uso después de 25 años.

CASO 6

Rehabilitación superior combinando espigos de oro platinado e implantes dentales en canino y bicúspide superior derecho.

Coronas metalocerámicas.

CASO 7

Caso realizado hace 25 años.Reviste gran dificultad por el escaso espacio existente para su realización.

Fotos realizadas con el paciente anestesiado y recién aplicado el barniz en los márgenes de las coronas.

Versión para imprimir | Mapa del sitio
© CLÍNICA DENTAL Drs.RODRÍGUEZ. S.C